UpFundMe # 7. An emergency call

in #upfundme8 years ago

ecograma 2 009.JPG

ecograma 2 012.JPG

Goal: 100.00 SBD
Updating: 0.74

Hello friends, I hope your Father's Day has been rewarding for you.

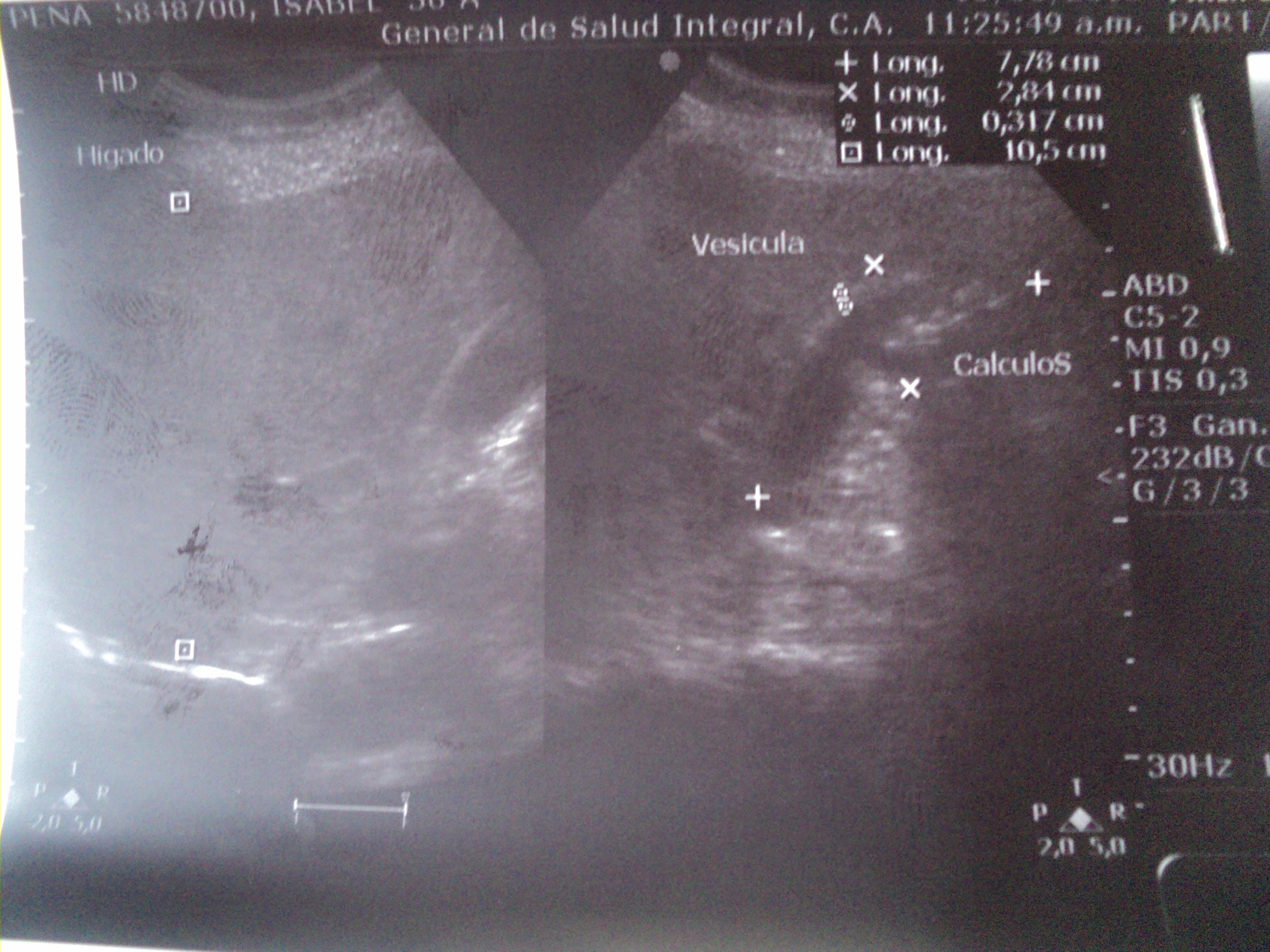
I want to tell you that today I went to do my second abdominal echogram to know how the calculations process continues and I was very happy but then the doctor told me that it was not good news.

Why was I happy?

When the doctor said the size of the stones I made the mental comparison with the last echogram. In the first, the size was 5.1 mm and now they were reduced to the highest in 2.5, for me it means improvement but for her it is a risk.

He told me that when a calculus reduces its size, it is more likely that it will try to go out and obstruct the vesicle duct that is of small size.

Now is and emergency.

I must continue with the diet and drink a lot of liquid (water) so that the emergency does not come suddenly and I can wait for a quiet operation, which would be the best.

I do not intend to impose a quantity of SBD on people, I only ask that you vote with your biggest voting power to collaborate with this cause.

Many thanks to all and may God bless you.

Sort:  

Sending lots of healing energy and a tip!

Thank you my dear friend @melinda010100 I appreciate it very much.

Hi @isabelpena! You have received 0.1 SBD tip from @melinda010100!

@melinda010100 wrote lately about: Don'T Fence Me In! Feel free to follow @melinda010100 if you like it :)

Earn daily income on steem: @tipU distributes 100% profit + 60% curation rewards to all investors.

Well done @isabelpena! You successfully guessed the match result.

Group Phase - Belgium vs Panama
Click on the badge to view your Board of Honor.

Do not miss the last post from @steemitboard!

You got a 26.34% upvote from @t50 courtesy of @isabelpena!


To use this service send a minimum of 0.010 SBD or STEEM to @t50 with the post you want upvoted as the memo.
Low Minimum Bids!
Increase Your Rep!
Draw Attention To your Post.
Earn Passive Income By Delegating SP to the Bot.
Overbid Protection
Voting processed every 2.4h (2,880 blocks).
@t50 follows all followers!


Invest and earn daily by delegating to the bot, we match or beat popular competitors.


If you do not want to receive upvotes from @t50 you can ask to be blacklisted by replying to this comment.

This Post Has Been Selected To Receive Free UpFundMe Support By The #upfundme Chief Curator @madstacks.

(You can upvote this comment to help keep UpFundMe General Support free for people crowdfunding on steemit.)


Optionally you can upgrade to UpFundMe Premium for as little as 1 STEEM / Month.






UpFundMe Support
UpFundMe Premium Support
Free!
1 STEEM / 30 days or a 30 SP delegation
Vote weight depends on available vote power.
Consistent vote weight!
Manual votes.
Automatic voting!
TASKMANAGER trail following at 40% scaled vote weight.
TASKMANAGER trail following at 80% scaled vote weight AND @tmholdings following wilth 100% scaled vote weight!
Manual resteem.
Automatic resteems!
Supports crowdfunding posts via #upfundme on steemit
Automatic support for crowdfunding posts and updates on fundition.io, hyperfundit.com and #upfundme on steemit!





Everyone seeking crowdfunding is encouraged to use every crowdfunding tool STEEM has to offer including fundition.io, hyperfundit.com and of course #upfundme via steemit/busy.


Important! - please read the #upfundme rules here, we will only support crowdfunds with a clearly defined goal in STEEM or local currency. Use these links to find the value of your saved SBD or STEEM.


tm

This project is partially funded by the @t50 promotional bidbot, and the TASKMANAGER bitshares token.

This Post Has Been Selected To Receive Free UpFundMe Support By The #upfundme Chief Curator @madstacks.

(You can upvote this comment to help keep UpFundMe General Support free for people crowdfunding on steemit.)


Optionally you can upgrade to UpFundMe Premium for as little as 1 STEEM / Month.






UpFundMe Support
UpFundMe Premium Support
Free!
1 STEEM / 30 days or a 30 SP delegation
Vote weight depends on available vote power.
Consistent vote weight!
Manual votes.
Automatic voting!
TASKMANAGER trail following at 40% scaled vote weight.
TASKMANAGER trail following at 80% scaled vote weight AND @tmholdings following wilth 100% scaled vote weight!
Manual resteem.
Automatic resteems!
Supports crowdfunding posts via #upfundme on steemit
Automatic support for crowdfunding posts and updates on fundition.io, hyperfundit.com and #upfundme on steemit!





Everyone seeking crowdfunding is encouraged to use every crowdfunding tool STEEM has to offer including fundition.io, hyperfundit.com and of course #upfundme via steemit/busy.


Important! - please read the #upfundme rules here, we will only support crowdfunds with a clearly defined goal in STEEM or local currency. Use these links to find the value of your saved SBD or STEEM.


tm

This project is partially funded by the @t50 promotional bidbot, and the TASKMANAGER bitshares token.

Thank you very much.

I am Madstacks - official curator of @upfundme, I am giving this fund extra support.

Buy/Sell Bitcoin - Coinbase
Trade Crypto, & Buy/Sell Steem - Binance
Get Coins before they hit the biggesst Exchanges - Kucoin

Together We are Stronger!

blue-colours-galaxy-pink-Favim.com-1799653.jpg

Thank you very much @madstacks I appreciate it.

¡Estaremos pendientes por cómo avanzan las cosas! Aquí dejo mi pequeño aporte. Mucho ánimo.

Gracias @gustavoadolfodca, muy agradecida.