Und auf einmal gab‘s nen Cut. #1
Servus liebe Steemit Gemeinde!!!!
Angestoßen von @asperger-kids ihrem heutigen Post https://steemit.com/deutsch/@asperger-kids/mit-dem-wandel-der-zeit
möchte ich euch gerne meine kleine Story zum Thema Veränderung darstellen.
„Raffi“ erwähnte im Post, stetige Veränderung wäre toll und ein eintöniges Leben ist nix. Das ist mal meine kurze Interpretation zu der Sicht.
Bei mir ist es so, das ich Veränderungen auch mag, diesen eigentlich im gewissen Rahmen immer sehr positiv gegenüber stehe. Ich bin jedoch keineswegs der Abenteuerer, sondern brauche immer meine Sicherheit, z.B. (anders wie Raffi) ein festen Wohnsitz, gesichertes Einkommen -ein klar geregeltes Leben. In diesem Wohlfühlbereich und mit dem Wissen und eines sicheren Backround sind Abenteuer in jeglicher Form kein Problem.
Manchmal gibt es jedoch Veränderungen im Leben, welche in keiner Weise planbar oder vorhersehbar sind. Diese hasse ich wie die Pest und kann schwer damit umgehen. So geschehen ist es mir am 12.November 2011.
Ich war am Abend mit dem Motorrad in Richtung S-Bahn unterwegs, das Wetter war für einen Novembertag noch richtig angenehm warm. Ich selber hatte keine Eile, da die S-Bahn eh alle 20 Minuten fährt. Zum Zeitpunkt meines Startes war das Leben noch in Ordnung, ich fühlte mich fit, war körperlich in Ordnung und hatte in den Jahren zuvor auch ordentlich abgenommen. Also war alles top. Bis kurz vor 21 Uhr.
.......
.......
.......
.......
Ab diesem Zeitpunkt war das Leben anders. Zuerst einmal war gar nix mit Leben. Ich war tot. Dank der engagierten Erthelferin (der ich immer noch zu tiefst danke), konnte ich denn Tot für einen Moment entweichen. Insgesamt gab es jedoch ganze 3 Wiederbelebungen.
Die letzte sollte jedoch scheitern und man deckte mich zu. Infos durch Polizei und meiner Mam zufolge:
21:14 Frau W. Ihr Sohn hat den Unfall nicht überlebt.
21:20 Frau W. Ihr Sohn hat ist vor ein paar Minuten wieder erwacht.
Noch heute ist mir die Geschichte der Polizistin wie ein Schauermärchen im Ohr.
Ich habe Ihnen gerade die Decke über gelegt, wollte für die Akten ein Foto machen, da schmeißen sie schreiend die Decke weg. Ungefähr 2 Minuten nachdem sie für Tot erklärt wurden.
Bis dahin weiß ich alles nur von Zeugen, Ersthelfer und den tollen Rettungskräften.
Mein ersten kurzen bewussten Moment hatte ich erst in dem Moment wo mir jemand sagte das ich einen Katether bekomme, ab diesem Zeitpunkt war ich wieder weg. Erst in der LMU München auf der Intensivstation wurde ich wieder wach und bekam für mich erstaunliche Informationen.
Erste Info die für mich unglaublich war, ich solle einem Motorradunfall gehabt haben!!!!! Verrückt!!! Naja hab ich dann mal so hingenommen. Als ich dann Heim wollte sagte sie mir das dies nicht geht. Verrückt!!! Mein Bein war kaputt. Die Intensivschwester schaute mich an und sagte mir , das mein Bein wohl das kleinste Übel war. Plötzlich bemerkte ich, das tatsächlich was nicht stimmte, mein rechtes Auge war dunkel.
Nach kurzem Plausch mit der Schwester bekam ich einen Spiegel vor mein Gesicht gehalten, naja ich sag mal so, ein Fußball ⚽️ war defenitiv ca. gleich von der Größe.
Nun bis zum abschwellen des Kopfes sollten noch ein paar Tage vergehen, auch die OP musste warten. Außer Lebensgefahr war ich noch lange nicht, Gehirnblutungen waren der Auslöser.
Nase kaputt, Gesicht kaputt. Vor der OP mussten die Haare ab. Dabei entstand dieses wohl dem Leide trotzende Bild. Der Spaß spiegelte jedoch nicht mein Inneres, dies war zerfressen. Zerfressen von Angst, Ungewissheit und Hilflosigkeit.
Nach der OP am Kopf, die ca. 13-14 h andauerte, lag ich noch 2 Tage im Tiefschlaf, bis ich dann wieder wach wurde. Kurz darauf bekam ich auch meine Sprunggelenksop, und diverse andere Eingriffe.
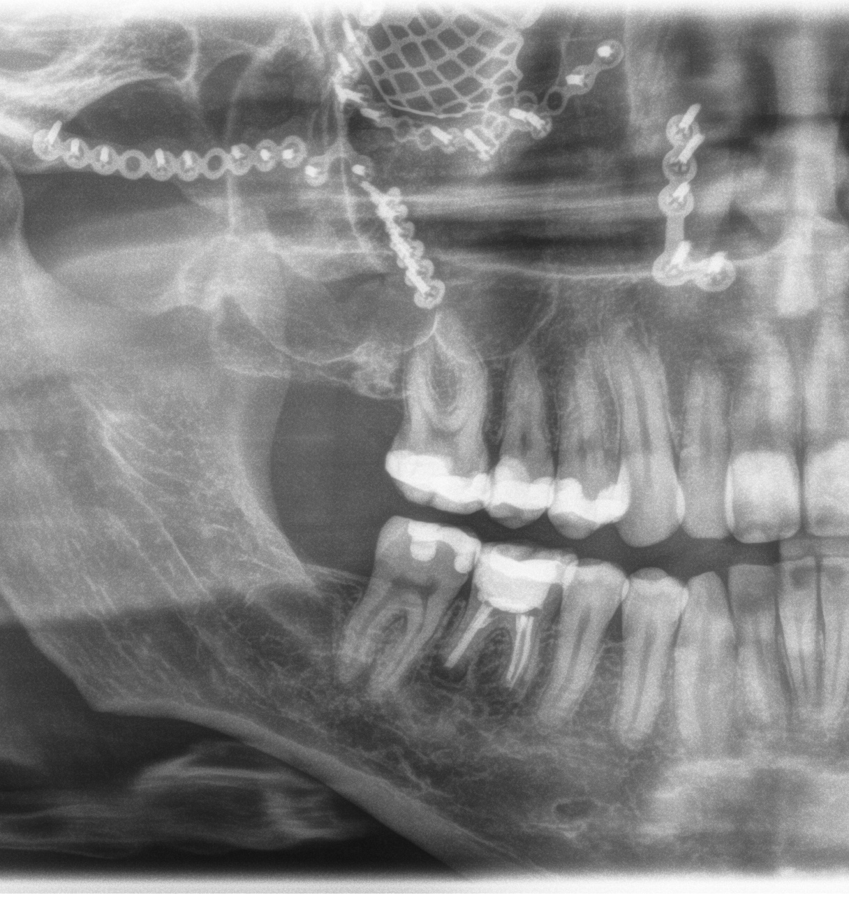
Hier mal ein Auszug wie mein Kopf nun von innen ausschaut.
Eigentlich war das ne Aufnahme beim Zahnarzt, aber da sieht man so schön das Titanmesh unter dem Auge.
Bei allem was mir so wiederfahren ist durch den Unfall könnte man meinen, man solle doch froh sein noch zu Leben. Natürlich kann man davon ausgehen. Aber dieser Einschnitt ins Leben und die Ungewissheit wie es nun weitergeht und was für Komplikationen noch kommen, konnte mir niemand schön reden. Ein Anfang war zumindest gemacht. Ich war wieder hergestellt, außer Lebensgefahr. Ich konnte zwar immer noch nicht sehen, nicht laufen nicht essen, aber ich lebte.
...........
Wenn ihr wissen wollt wie es weiter geht, die nächsten Tage setze ich das begonnene fort.
Beste Grüße


Boahhh wie krass- was machst du denn für Sachen!! Jetzt hab ich dich schon ein paar Mal getroffen aber das wusste ich ja gar nicht- vorallem: kannst du auf dem rechten Auge wieder sehen??? Bin gespannt wie es weitergeht!!
ja kann darauf sehen... aber halt anders .. etwas versetzt schief .... der Kopf macht ein Bild draus... aber ist enorm anstrengend
Krasses Erlebnis! Gut, dass es so ein Ende genommen hat und du sie heute hier teilen kannst. Nur die besten Wünsche, einen Upvote und einen Follow aus Paderborn
Heftige nummer ! Zweiter Geburtstag hmm ?! Da bin ich ja mit meinem motorradunfall vor 3 jahren glimpflich davon gekommen. Bin gespannt wie es weiter geht :)
Dlzg :)
Was fuer eine krasse story! Wie das Leben eben manchmal spielt..
Mal schauen wie's weiter ging..
Krasse Geschichte. Das ist mir einen resteem wert!
Viel dank
Hallo du Lieber - schön, dass du deine Geschichte öffentlich machst. Wie gut, dass ich sie schon etwas kannte und wie gut, dass ich dich als Wunder-voll lebendig erleben durfte! Ich schätze ja auch Veränderungen, aber manche sind wirklich sehr hart. Bin gespannt auf deinen nächsten Artikel. Liebe Grüße an euch beide.
Puh!
Das ist ja ein krasses Erlebnis. Bin hier grad ganz geplättet. Du hast das glaub ich schon mal am Rande erwähnt, aber das das so heftig war, war mir nicht bewusst. Deine Ma hat bestimmt auch lange gebraucht, dass zu verarbeiten.
Also so krass müssen Veränderungen nun wirklich nicht sein. Wobei ich immer wieder feststelle, dass einem der enge Kontakt mit dem Tod, ganz neue Perspektiven auf das Leben vermittelt und man vieles auf einmal gelassener nehmen kann.
Ugh,
heftige Geschichte ! Ich selber habe vor einem Jahr eine schwere Herz-OP gehabt. Ursache: Aneurysma der Aorta am Herzen ! Bei so einer Diagnose fällt man erstmal durch eine Falltür - alles ist so unwirklich.
Körperlich geht es mir wieder sehr gut - jedoch brauche ich auch über 1 jahr danach noch Zeit, um auch psychisch wieder ganz stabil zu werden. Aufeinmal sind Ängste da, die ich vorher nie gekannt habe. Aber - mit der Zeit wird auch das noch viel besser werden, da bin ich mir sicher.
Ich bin gespannt auf deine nächste Ausführung.
Beste Grüße
Michael
Ich kenne ein bisschen von der Geschichte aber jetzt sehe ich die Bilder. Alterfalter...
Das sind die jugendkonformen Bilder
This post has received a 12.2 % upvote from @boomerang.